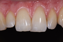
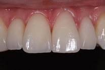
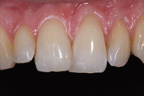
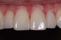
Ung man som inte tycker om sina ojämna tänder. Behandling: Generell blekning samt 4 fasader på framtänderna.