Patientfall

1 Ojämn tandrad

2 Missfärgade tänder

3 Implantat och broar

4 Glesa tänder

5 Ojämna tänder

6 Ojämna framtänder

7 Skadade tänder

8 Invisalign - Tandreglering

9 Composite

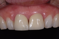
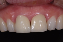
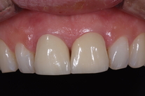
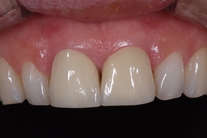
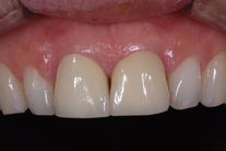
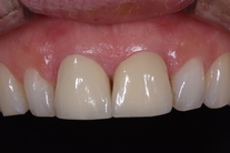
Missfärgade tänder 9

2 gamla kronor med fel färg och form samt slitna hörntänder. Behandling: Generell blekning, 2 kronor och 2 fasader på 4 framtänder. Composite fyllningar på hörntänderna.