Patientfall

1 Ojämn tandrad

2 Missfärgade tänder

3 Implantat och broar

4 Glesa tänder

5 Ojämna tänder

6 Ojämna framtänder

7 Skadade tänder

8 Invisalign - Tandreglering

9 Composite

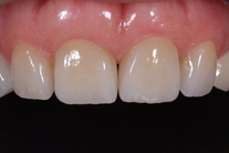
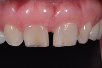
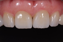
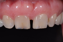
Glesa, missfärgade tänder 12

Missnöjd med glesa och slitna framtänder. Behandling: Generell blekning, laserkonturering av tandköttet samt 4 fasader och 1 krona.