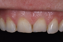
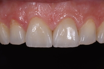
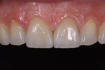
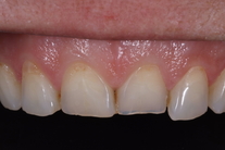
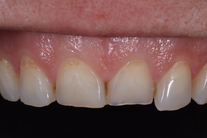
2 framtänder som står bakåttippade. Nötta av tandgnissling. Behandling: Inkorrigering av bettet samt 2 fasader.