Patientfall

1 Ojämn tandrad

2 Missfärgade tänder

3 Implantat och broar

4 Glesa tänder

5 Ojämna tänder

6 Ojämna framtänder

7 Skadade tänder

8 Invisalign - Tandreglering

9 Composite

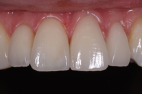
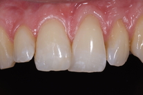
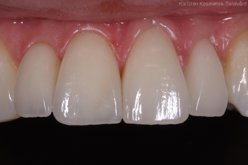
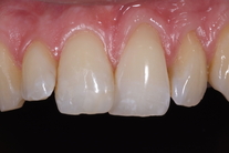
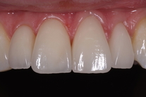
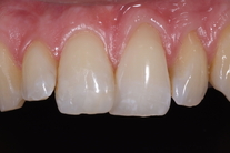
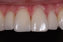
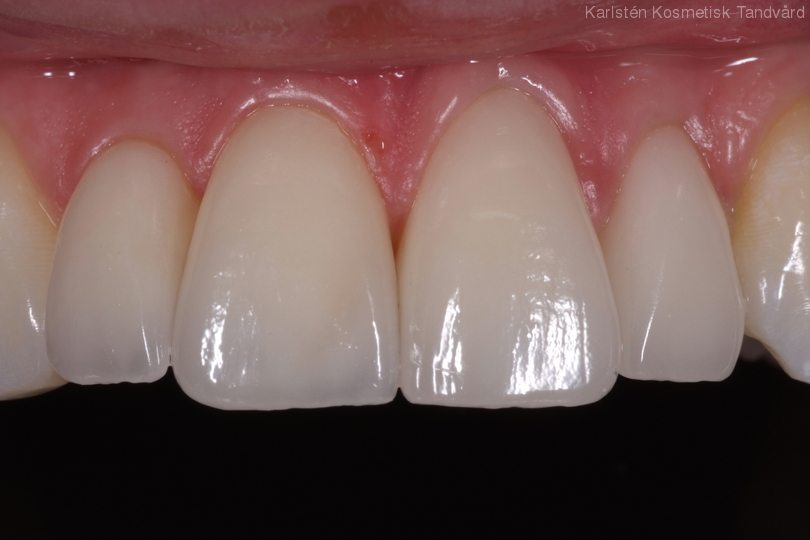
Förfining av framtänder 12

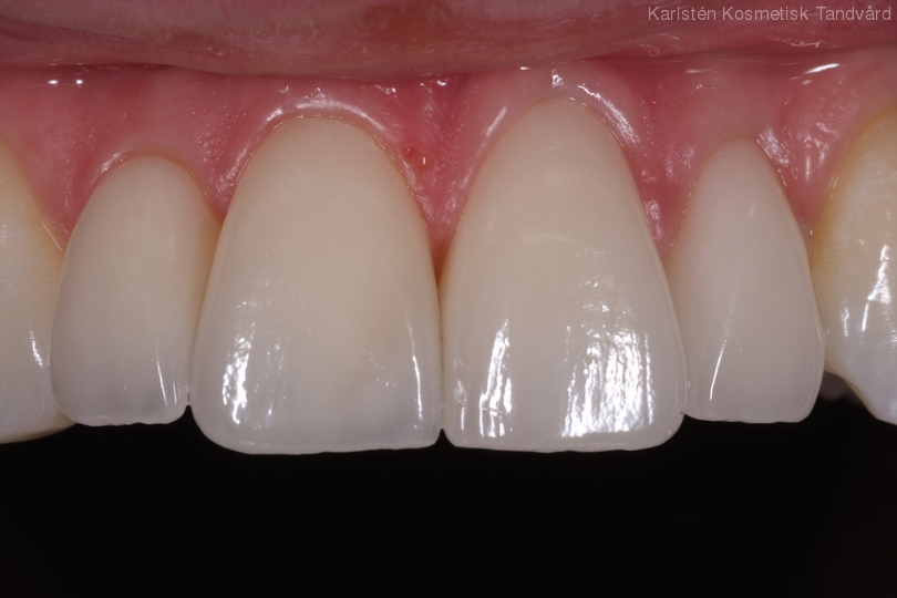
Ung man som inte tycker om sina ojämna tänder. Behandling: Generell blekning samt 4 fasader på framtänderna.