Patientfall

1 Ojämn tandrad

2 Missfärgade tänder

3 Implantat och broar

4 Glesa tänder

5 Ojämna tänder

6 Ojämna framtänder

7 Skadade tänder

8 Invisalign - Tandreglering

9 Composite

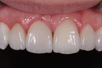
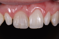
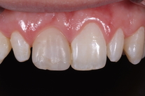
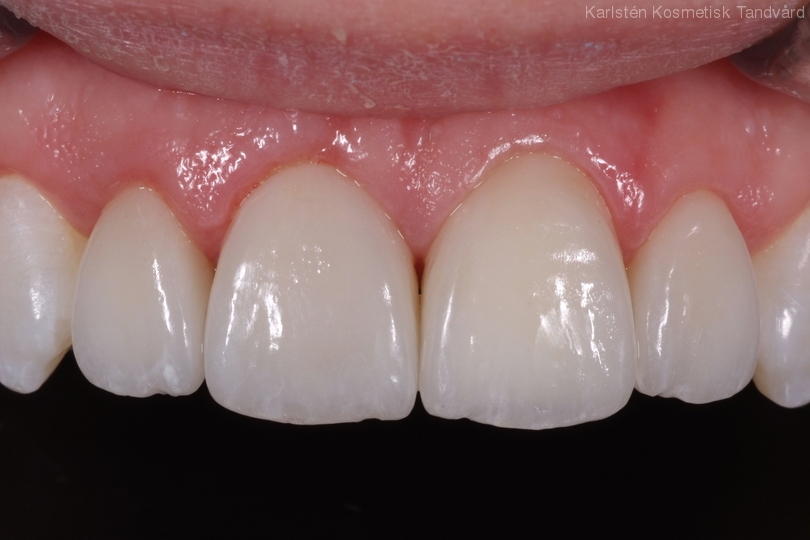
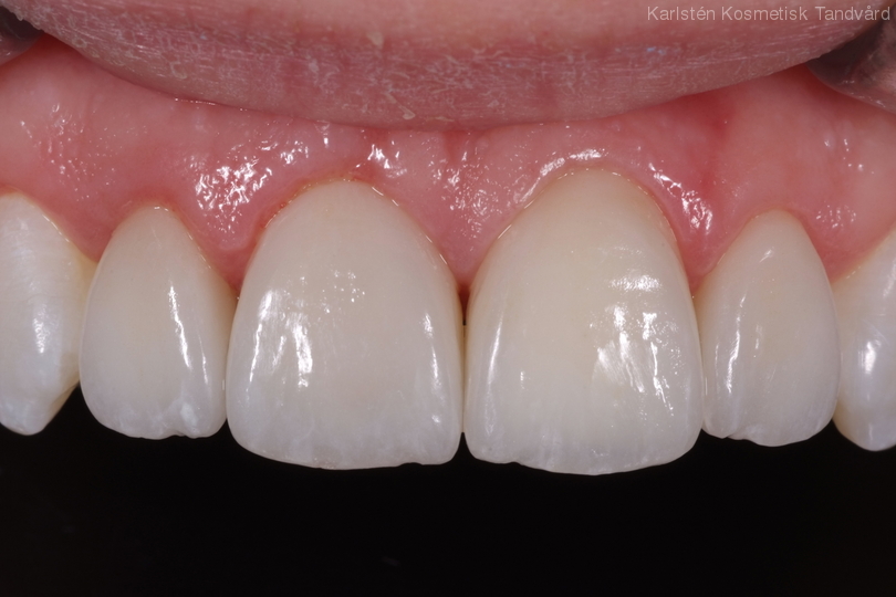
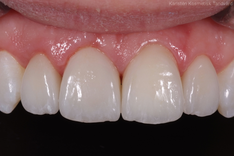
Ojämna, små framtänder 2

Små framtänder med trångställning samt en skadad och missfärgad framtand. Behandling: Generell blekning, omformning av tandköttet med laser samt 4 fasader.