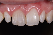
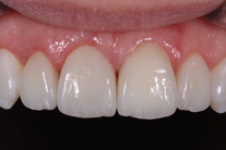
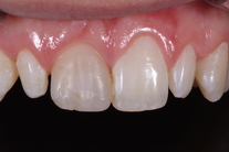
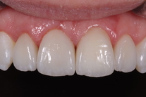
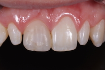
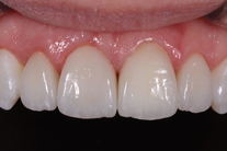
Små framtänder med trångställning samt en skadad och missfärgad framtand. Behandling: Generell blekning, omformning av tandköttet med laser samt 4 fasader.