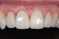
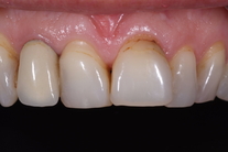
Missfärgade framtänder som är olika stora och har olika färg. Behandling: Generell blekning, laserkonturering av tandköttet, 2 compositefyllningar på hörntänderna samt 4 kronor.