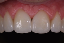
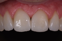
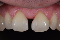
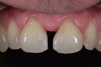
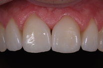
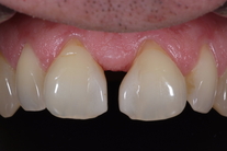
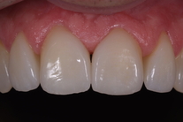
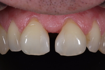
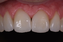
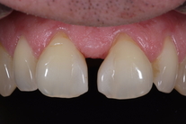
Stort mellanrum mellan framtänderna, tidigare lagat med composite. Behandling: Generell blekning, 2 fasader och 2 kronor.