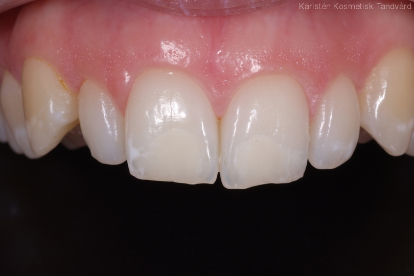
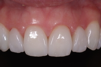
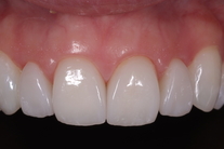
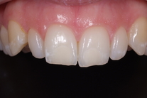
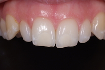
Missnöjd med ojämnhet mellan hörntänder och framtänder. Behandling: Generell blekning, 4 fasader samt 2 composite-fyllningar på hörntänderna.