Patientfall

1 Ojämn tandrad

2 Missfärgade tänder

3 Implantat och broar

4 Glesa tänder

5 Ojämna tänder

6 Ojämna framtänder

7 Skadade tänder

8 Invisalign - Tandreglering

9 Composite

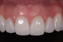
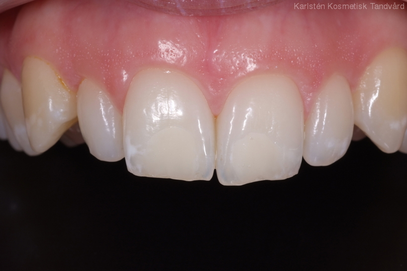
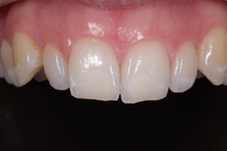
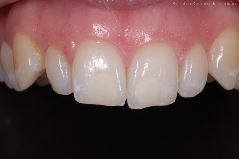
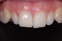
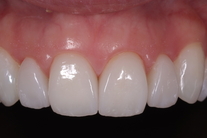
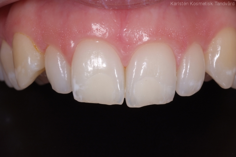
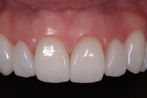
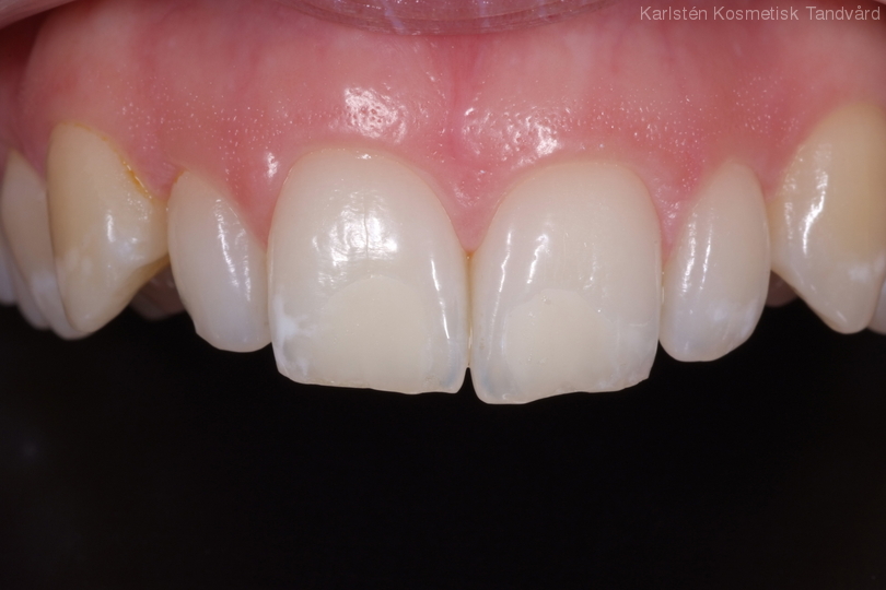
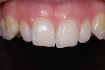
Ojämna framtänder 14

Missnöjd med ojämnhet mellan hörntänder och framtänder. Behandling: Generell blekning, 4 fasader samt 2 composite-fyllningar på hörntänderna.