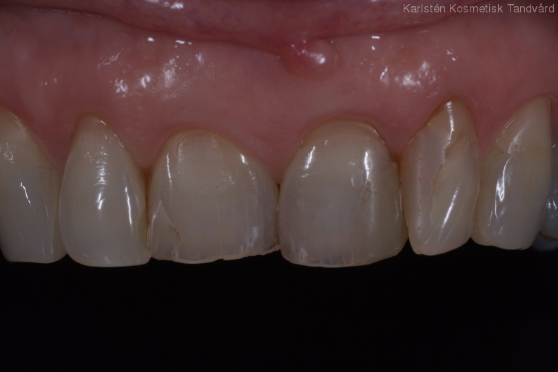
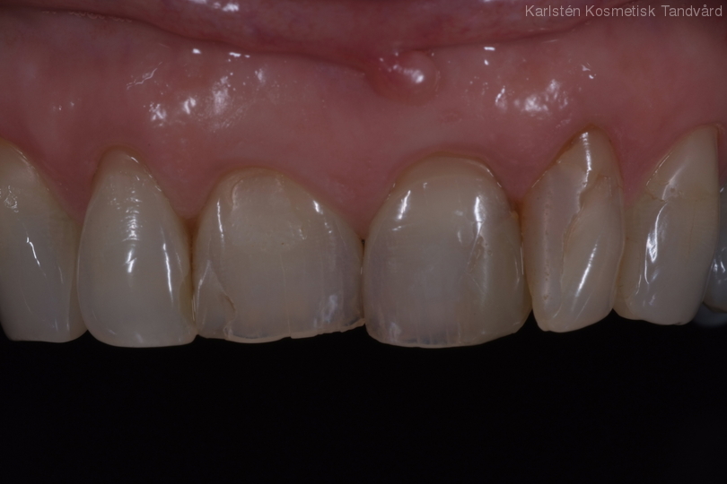
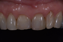
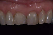
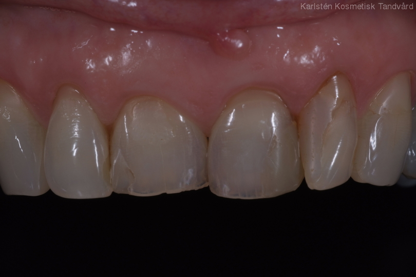
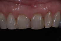
Kvinna med missfärgade och lagade framtänder. Vill se hel och fin ut. Behandling: Generell blekning, laserkonturering av tandköttet samt 4 kronor.