Patientfall

1 Ojämn tandrad

2 Missfärgade tänder

3 Implantat och broar

4 Glesa tänder

5 Ojämna tänder

6 Ojämna framtänder

7 Skadade tänder

8 Invisalign - Tandreglering

9 Composite

Förfining av tänder 15

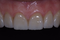
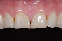
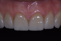
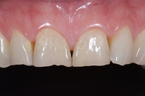
Slitna framtänder och muskelspänningar i käkarna. Behandling med generell blekning, 5 kronor och 6 fasader i överkäken.