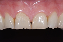
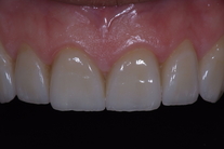
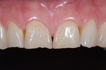
Slitna framtänder och muskelspänningar i käkarna. Behandling med generell blekning, 5 kronor och 6 fasader i överkäken.