Patientfall

1 Ojämn tandrad

2 Missfärgade tänder

3 Implantat och broar

4 Glesa tänder

5 Ojämna tänder

6 Ojämna framtänder

7 Skadade tänder

8 Invisalign - Tandreglering

9 Composite

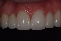
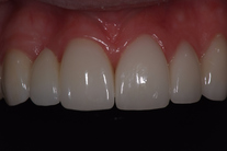
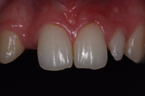
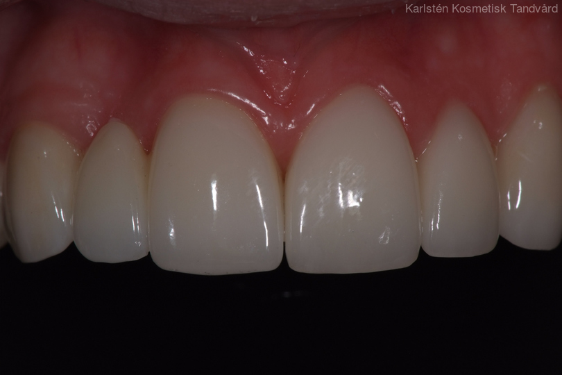
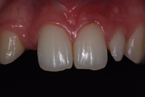
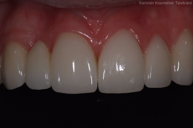
Bro + fasader 8

19-årig kvinna som saknar en framtand samt har en missformad tapptand. Behandling: Generell blekning, 3 fasader och bro med 3 tänder.