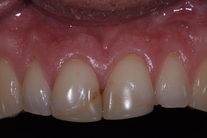
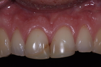
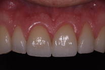
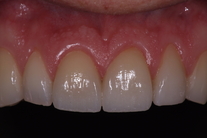
3 framtänder skadade för ett antal år sedan. Då lagade med compositefyllningar. Behandling: Generell blekning, 1 krona och 2 fasader.