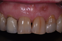
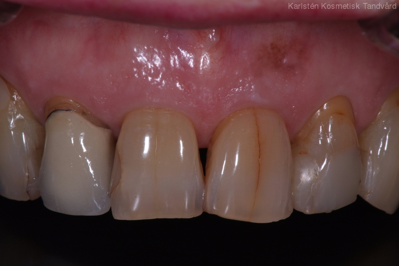
Diverse tänder med varierande färg. Bettfunktionsfel med många trasiga tänder. Behandling: Blekning i underkäken samt 16 kronor för att återskapa ett stabilt bett.