Patientfall

1 Ojämn tandrad

2 Missfärgade tänder

3 Implantat och broar

4 Glesa tänder

5 Ojämna tänder

6 Ojämna framtänder

7 Skadade tänder

8 Invisalign - Tandreglering

9 Composite

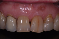
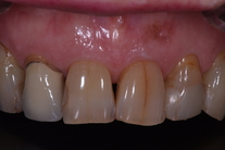
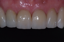
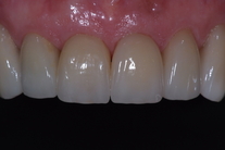
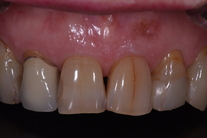
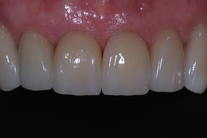
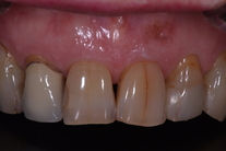
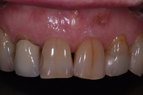
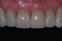
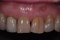
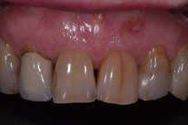
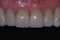
Förfining av skadade tänder 17

Diverse tänder med varierande färg. Bettfunktionsfel med många trasiga tänder. Behandling: Blekning i underkäken samt 16 kronor för att återskapa ett stabilt bett.