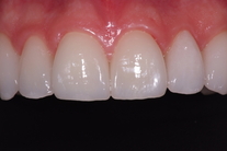
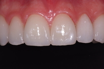
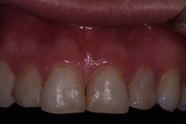
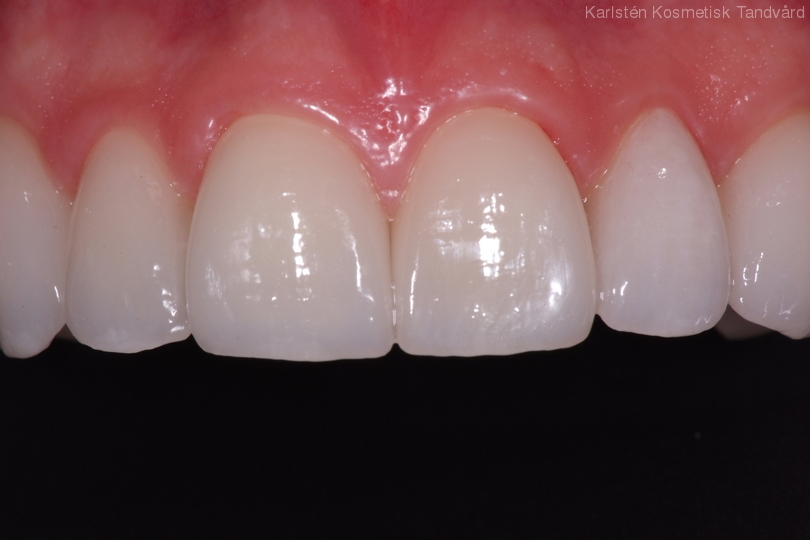
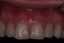
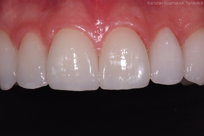
Ung kvinna med missfärgade compositefasader. Behandling: Generell blekning, 2 fasader samt 6 kronor i överkäken.