Patientfall

1 Ojämn tandrad

2 Missfärgade tänder

3 Implantat och broar

4 Glesa tänder

5 Ojämna tänder

6 Ojämna framtänder

7 Skadade tänder

8 Invisalign - Tandreglering

9 Composite

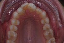
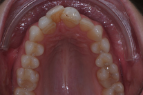
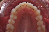
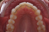
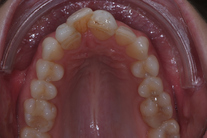
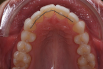
Tandreglering 2

30-årig kvinna med oregelbundna tänder. Behandlingen består av 11 månaders tandreglering med genomskinliga Invisalignskenor, generell blekning samt 3 porslinsfasader.