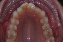
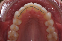
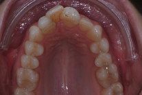
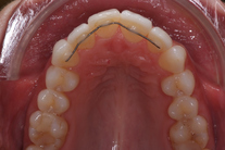
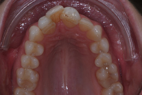
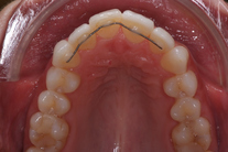
30-årig kvinna med oregelbundna tänder. Behandlingen består av 11 månaders tandreglering med genomskinliga Invisalignskenor, generell blekning samt 3 porslinsfasader.