Patientfall

1 Ojämn tandrad

2 Missfärgade tänder

3 Implantat och broar

4 Glesa tänder

5 Ojämna tänder

6 Ojämna framtänder

7 Skadade tänder

8 Invisalign - Tandreglering

9 Composite

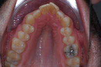
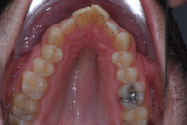
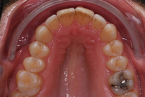
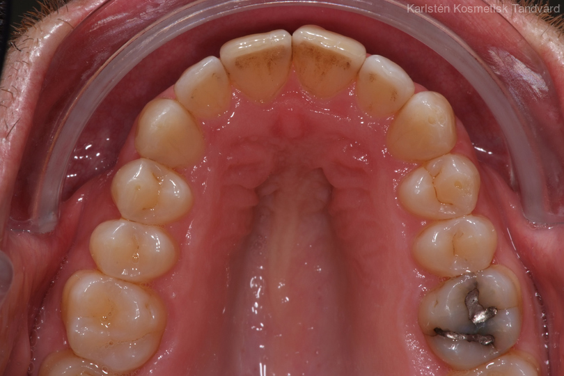
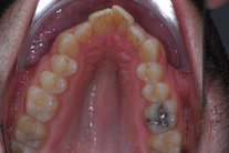
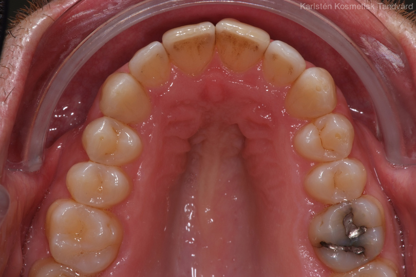
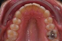
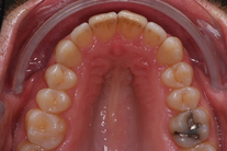
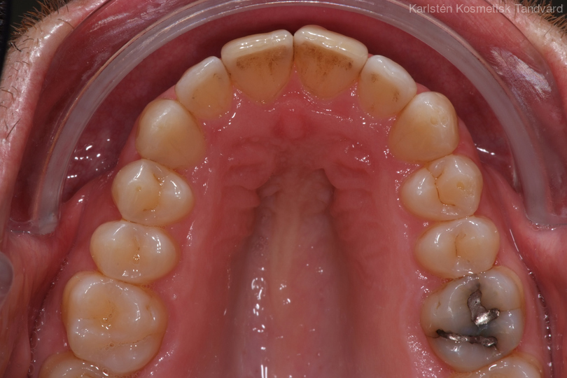
Tandreglering 3

35-årig man med smal och trångställd tandbåge. Vill ha ett jämnt leende. Behandling bestod av knappt 9 månader med genomskinliga Invisalignskenor.