Patientfall

1 Ojämn tandrad

2 Missfärgade tänder

3 Implantat och broar

4 Glesa tänder

5 Ojämna tänder

6 Ojämna framtänder

7 Skadade tänder

8 Invisalign - Tandreglering

9 Composite

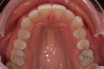
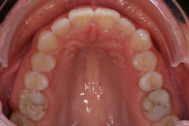
Tandreglering 4

40-årig kvinna som tycker att de två framtänderna står ut framför alla andra tänder. Behandlingen bestod av 11 månader med genomskinliga Invisalignskenor.