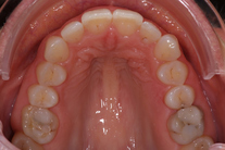
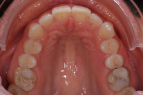
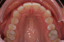
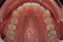
40-årig kvinna som tycker att de två framtänderna står ut framför alla andra tänder. Behandlingen bestod av 11 månader med genomskinliga Invisalignskenor.