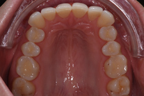
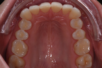
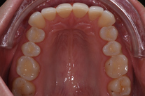
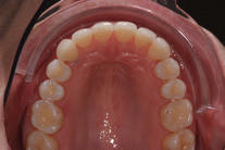
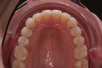
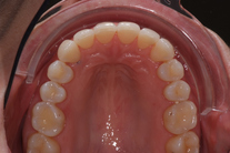
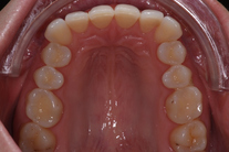
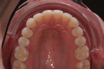
32-årig kvinna som tycker att hon bara visar sina framtänder. En utjämning och vidgning av tandbågen med 8 månaders genomskinliga Invisalignskenor, gav henne ett fint leende.