Patientfall

1 Ojämn tandrad

2 Missfärgade tänder

3 Implantat och broar

4 Glesa tänder

5 Ojämna tänder

6 Ojämna framtänder

7 Skadade tänder

8 Invisalign - Tandreglering

9 Composite

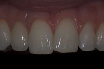
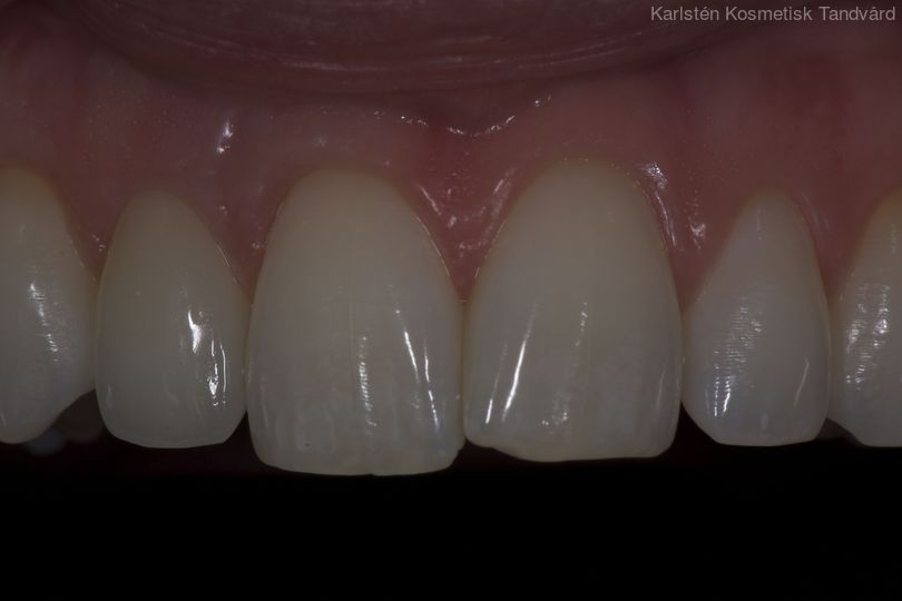
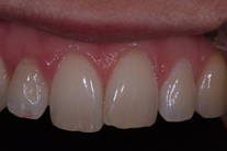
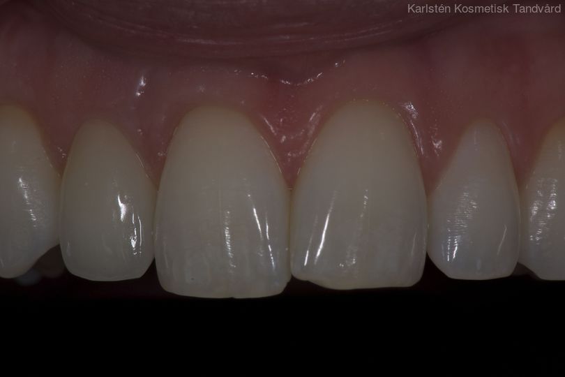
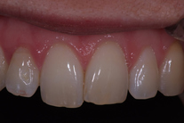
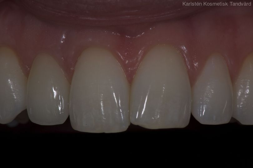
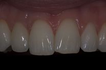
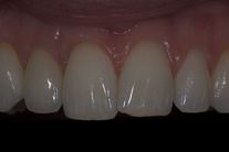
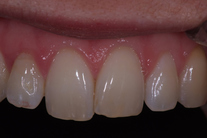
Implantat framtand 1

30-årig kvinna med frakturerad framtand med infektion som måste tas bort. Behandlingen bestod av generell blekning, implantat med ben- och bindvävsuppbyggnad samt en implantatkrona