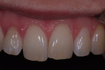
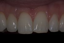
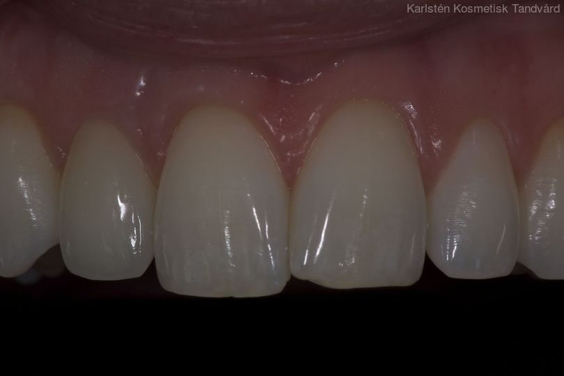
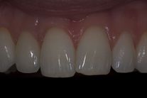
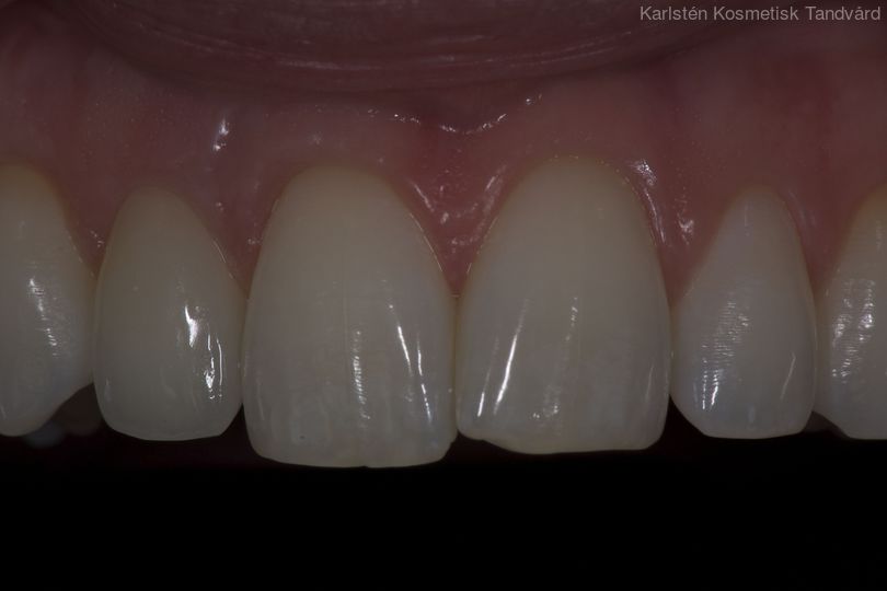
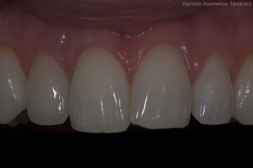
30-årig kvinna med frakturerad framtand med infektion som måste tas bort. Behandlingen bestod av generell blekning, implantat med ben- och bindvävsuppbyggnad samt en implantatkrona