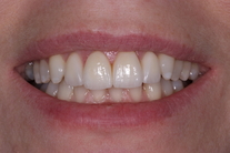
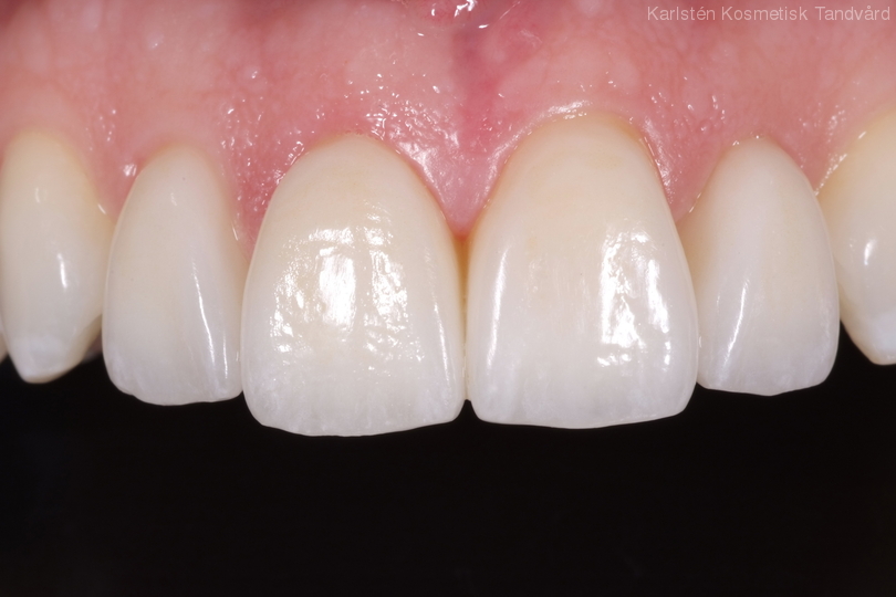
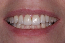
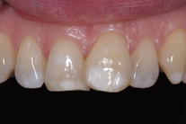
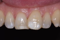
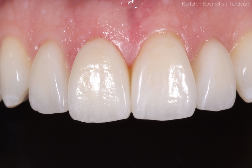
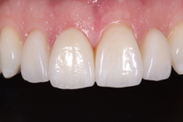
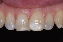
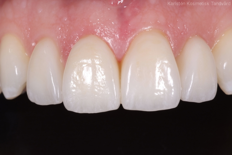
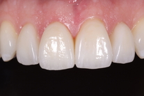
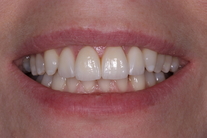
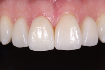
Önskemål om jämnare tandrad. Behandling: Generell blekning, laserkonturering av tandköttet samt 4 fasader.