Patientfall

1 Ojämn tandrad

2 Missfärgade tänder

3 Implantat och broar

4 Glesa tänder

5 Ojämna tänder

6 Ojämna framtänder

7 Skadade tänder

8 Invisalign - Tandreglering

9 Composite

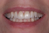
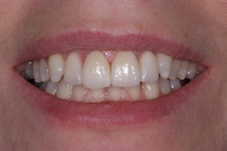
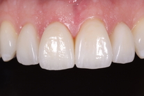
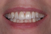
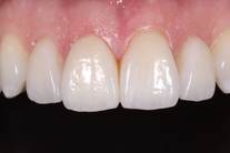
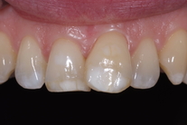
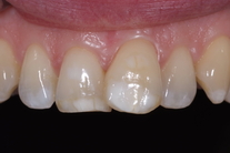
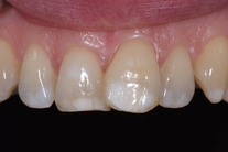
Trångställda tänder 1

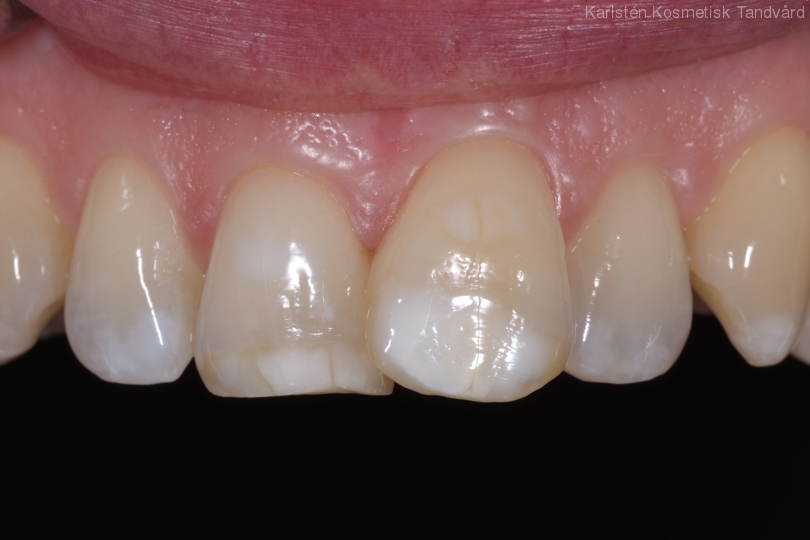
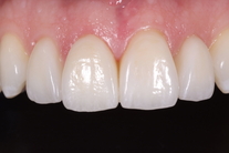
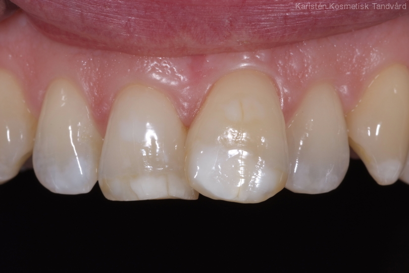
Önskemål om jämnare tandrad. Behandling: Generell blekning, laserkonturering av tandköttet samt 4 fasader.