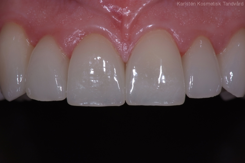
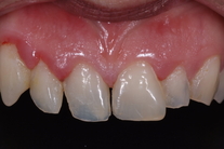
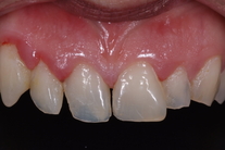
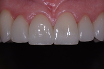
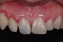
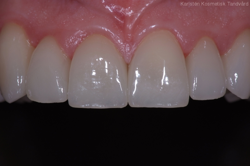
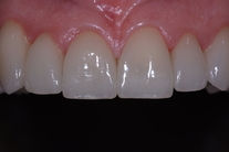
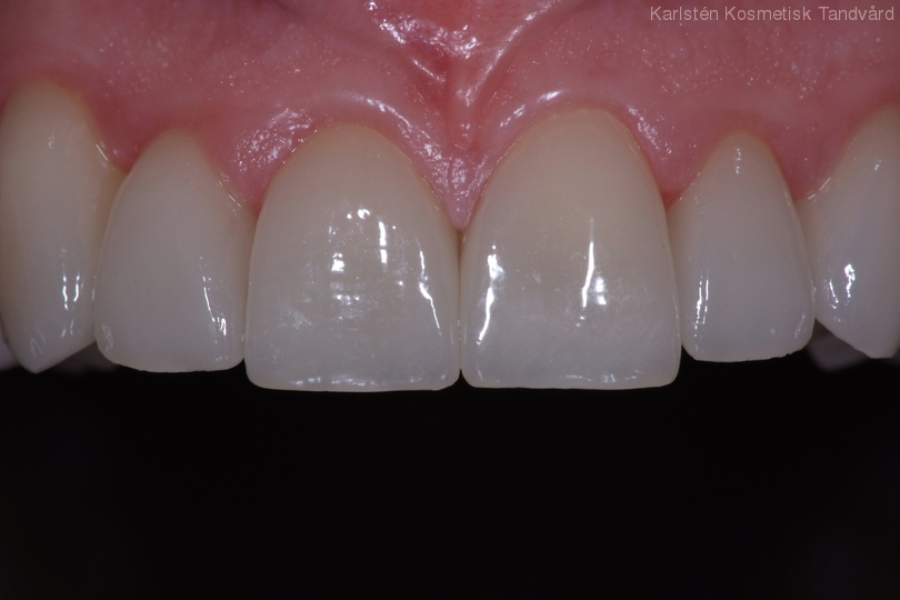
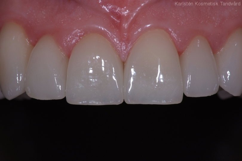
Kraftigt nergnisslade tänder. Behandling: Generell blekning, laserkonturering samt 21 porslinständer.