Patientfall

1 Ojämn tandrad

2 Missfärgade tänder

3 Implantat och broar

4 Glesa tänder

5 Ojämna tänder

6 Ojämna framtänder

7 Skadade tänder

8 Invisalign - Tandreglering

9 Composite

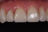
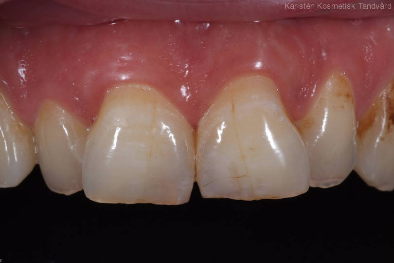
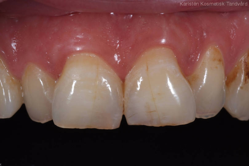
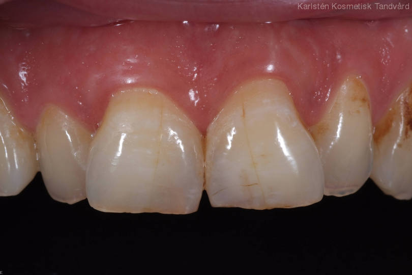
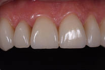
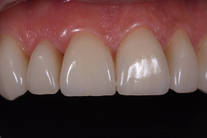
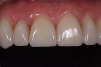
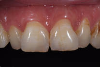
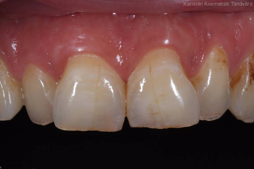
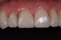
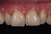
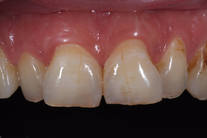
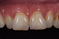
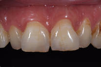
Missfärgade tänder 5

Kraftigt missfärgade tänder och fyllningsskarvar samt karies. Behandling: Generell blekning, 6 fasader och 4 kronor i överkäken samt 6 kronor i underkäken.