Patientfall

1 Ojämn tandrad

2 Missfärgade tänder

3 Implantat och broar

4 Glesa tänder

5 Ojämna tänder

6 Ojämna framtänder

7 Skadade tänder

8 Invisalign - Tandreglering

9 Composite

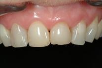
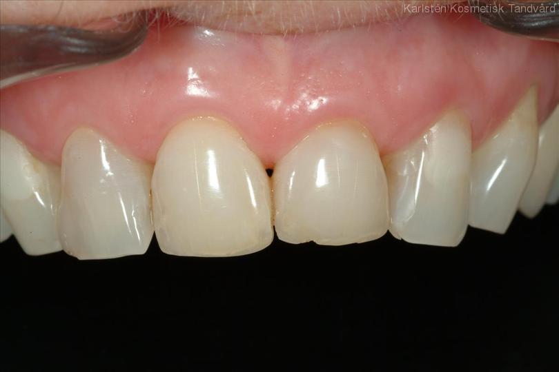
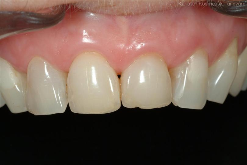
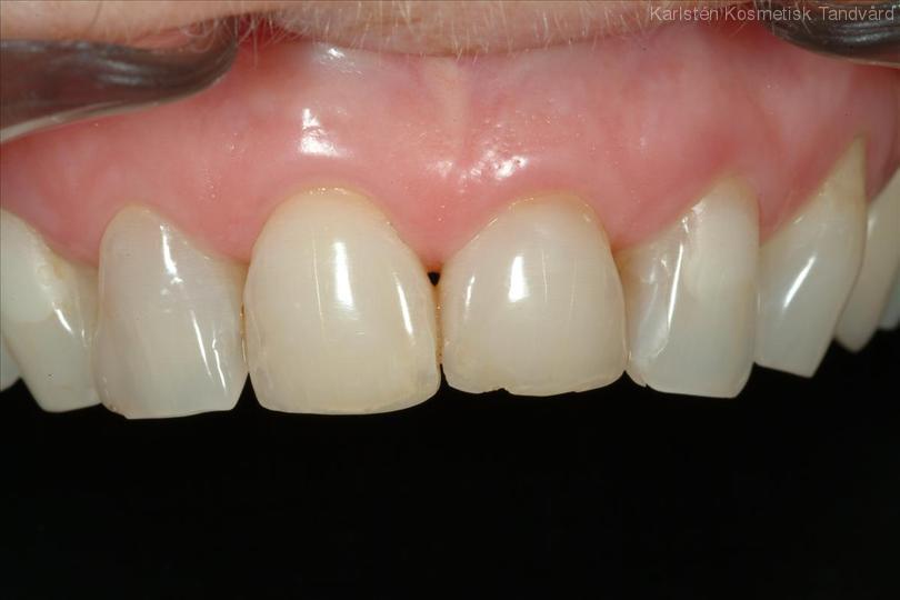
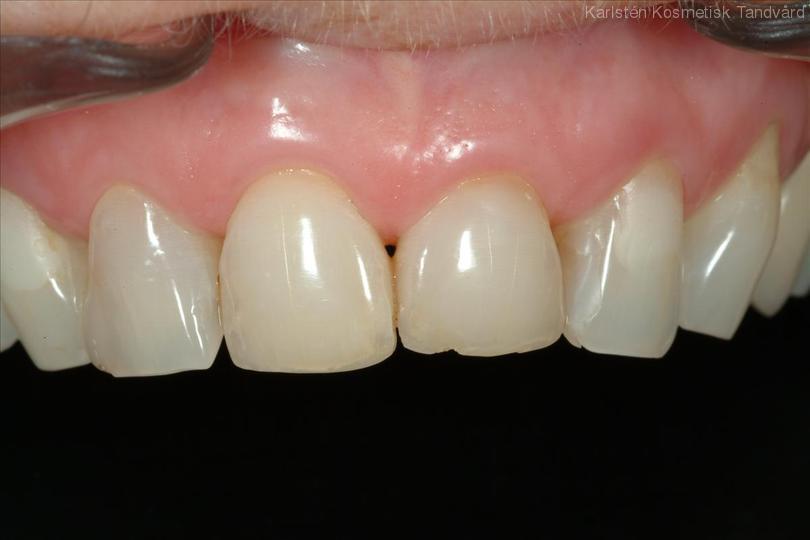
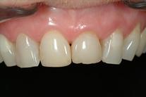
Ojämna tänder 1

Assymetriska framtänder. Önskemål fanns om mer symmetri. Behandling: Generell blekning samt 5 fasader och 1 krona