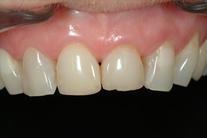
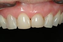
Assymetriska framtänder. Önskemål fanns om mer symmetri. Behandling: Generell blekning samt 5 fasader och 1 krona