Patientfall

1 Ojämn tandrad

2 Missfärgade tänder

3 Implantat och broar

4 Glesa tänder

5 Ojämna tänder

6 Ojämna framtänder

7 Skadade tänder

8 Invisalign - Tandreglering

9 Composite

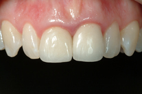
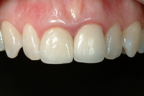
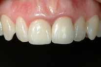
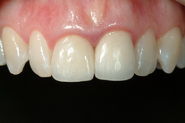
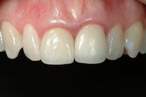
Ojämna framtänder 3

Ojämna och assymetriska rotfyllda framtänder. Behandling: Generell blekning, höjning av tandköttet, 2 fasader och 2 kronor.