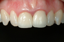
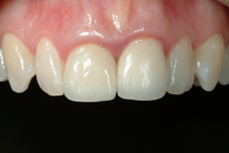
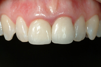
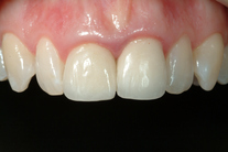
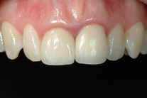
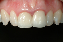
Ojämna och assymetriska rotfyllda framtänder. Behandling: Generell blekning, höjning av tandköttet, 2 fasader och 2 kronor.