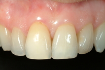
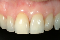
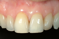
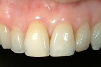
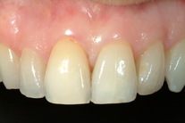
Önskemål om ljusare tänder med jämn färg och bättre tandform. Behandling: Generell blekning samt 10 fasader och 8 kronor i över- och underkäken.