Patientfall

1 Ojämn tandrad

2 Missfärgade tänder

3 Implantat och broar

4 Glesa tänder

5 Ojämna tänder

6 Ojämna framtänder

7 Skadade tänder

8 Invisalign - Tandreglering

9 Composite

Glesa tänder 5

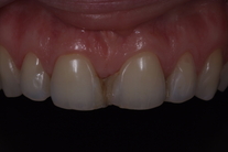
Kvinna som är missnöjd med sina framtänder. Behandling: Generell blekning samt 4 fasader.