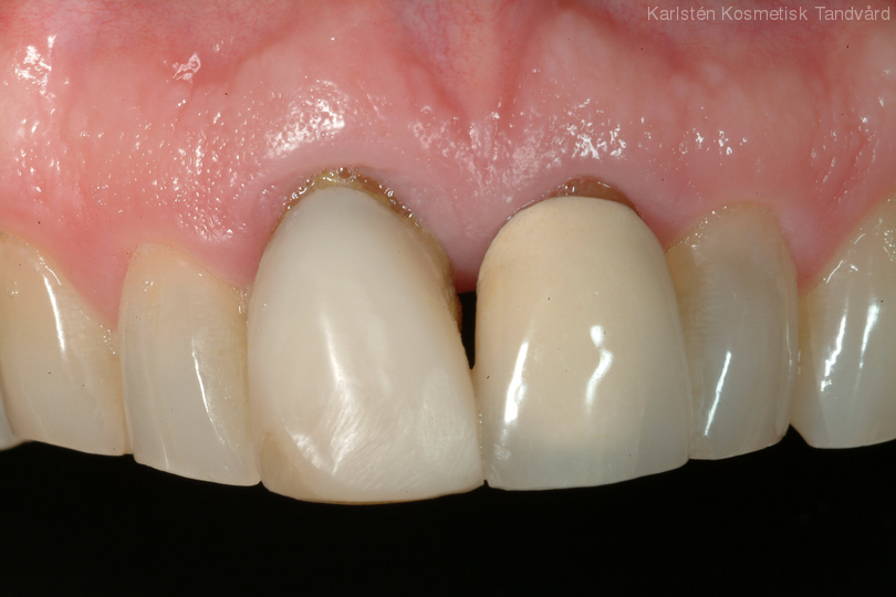
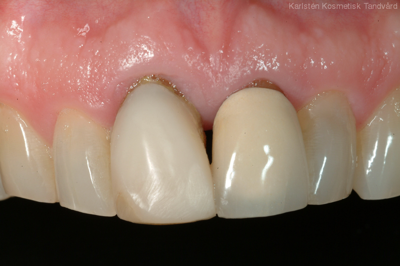
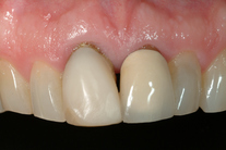
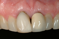
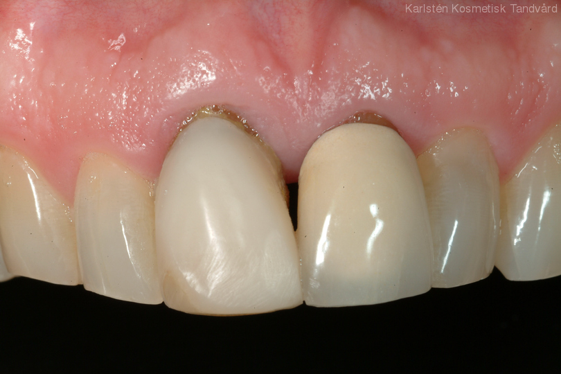
2 framtänder som måste tas bort ersätts av 2 implantat. Behandling: Framtänderna ersätts med TandNu, dvs direkt användbara tänder som sätts in samtidigt som dom dåliga tänderna tas bort.