Patientfall

1 Ojämn tandrad

2 Missfärgade tänder

3 Implantat och broar

4 Glesa tänder

5 Ojämna tänder

6 Ojämna framtänder

7 Skadade tänder

8 Invisalign - Tandreglering

9 Composite

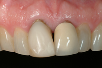
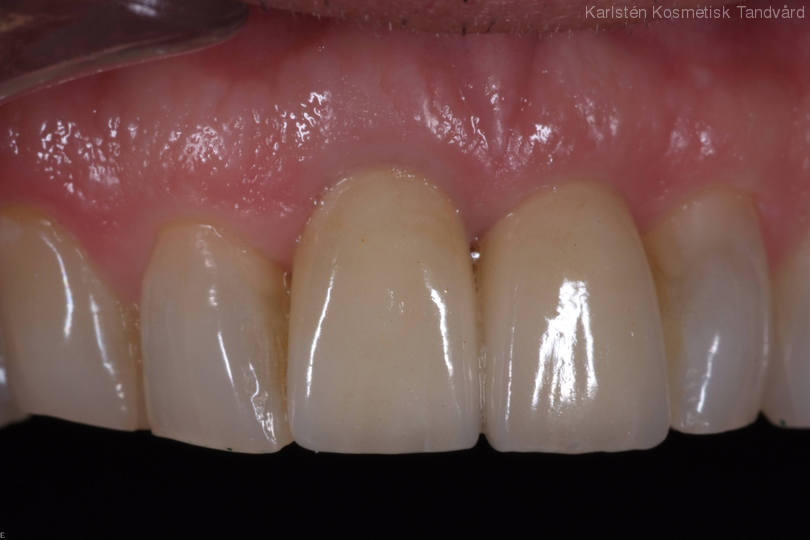
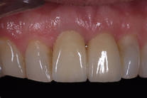
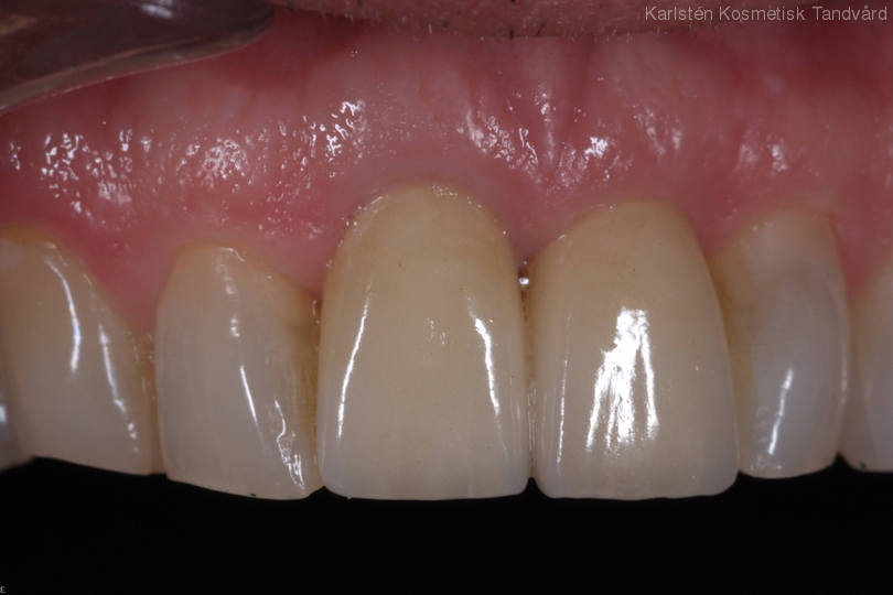
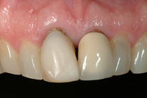
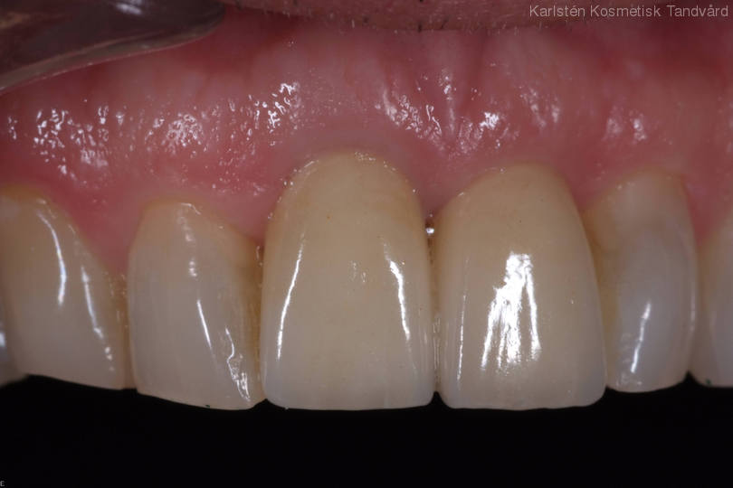
2 Implantat framtänder 2

2 framtänder som måste tas bort ersätts av 2 implantat. Behandling: Framtänderna ersätts med TandNu, dvs direkt användbara tänder som sätts in samtidigt som dom dåliga tänderna tas bort.