Patientfall

1 Ojämn tandrad

2 Missfärgade tänder

3 Implantat och broar

4 Glesa tänder

5 Ojämna tänder

6 Ojämna framtänder

7 Skadade tänder

8 Invisalign - Tandreglering

9 Composite

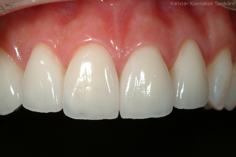
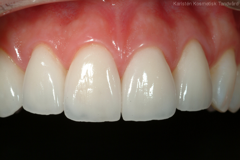
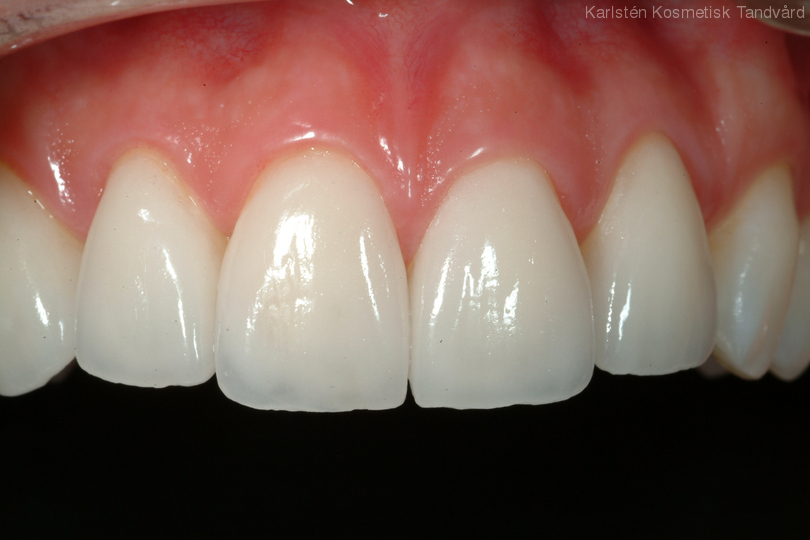
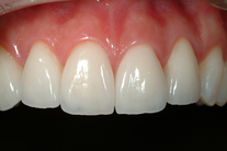
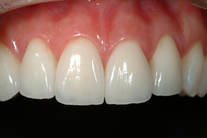
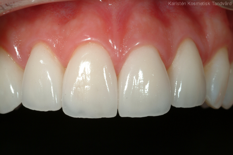
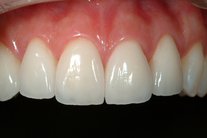
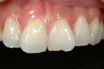
Förfining av tänder 5

Nötta och slitna tänder med lite felställning. Behandling: Generell blekning samt 5 fasader i överkäken.