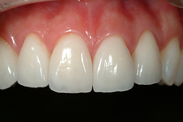
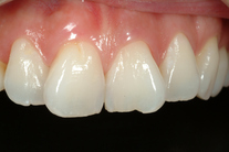
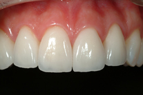
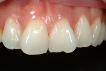
Nötta och slitna tänder med lite felställning. Behandling: Generell blekning samt 5 fasader i överkäken.