Patientfall

1 Ojämn tandrad

2 Missfärgade tänder

3 Implantat och broar

4 Glesa tänder

5 Ojämna tänder

6 Ojämna framtänder

7 Skadade tänder

8 Invisalign - Tandreglering

9 Composite

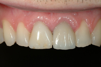
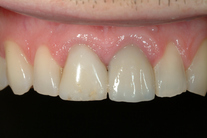
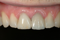
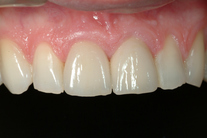
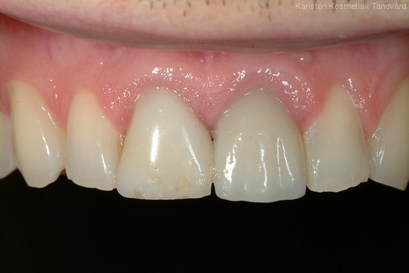
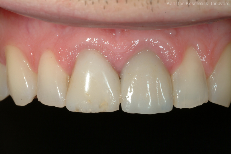
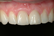
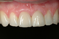
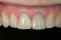
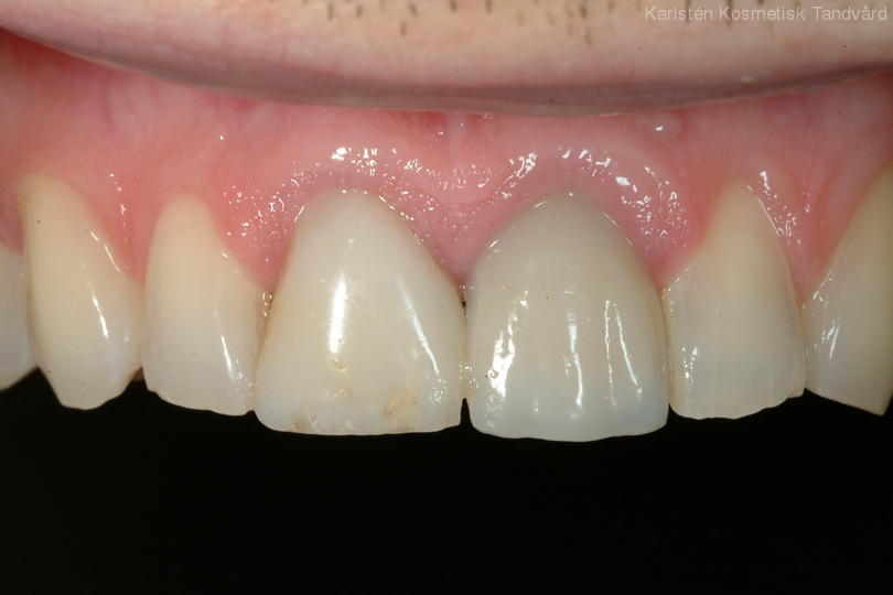
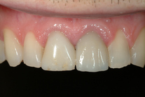
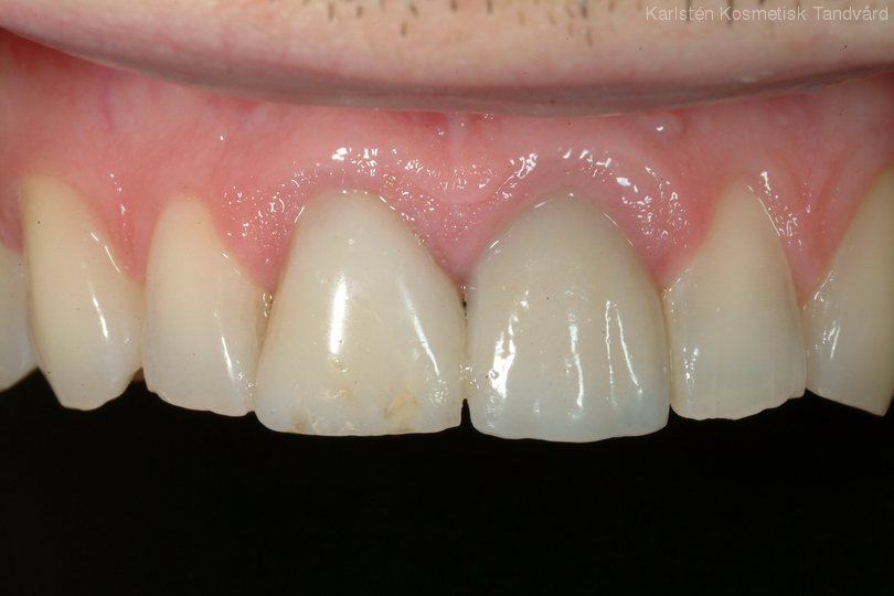
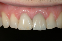
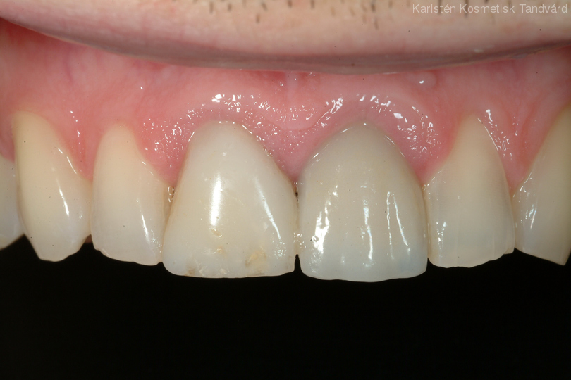
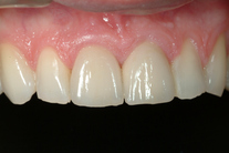
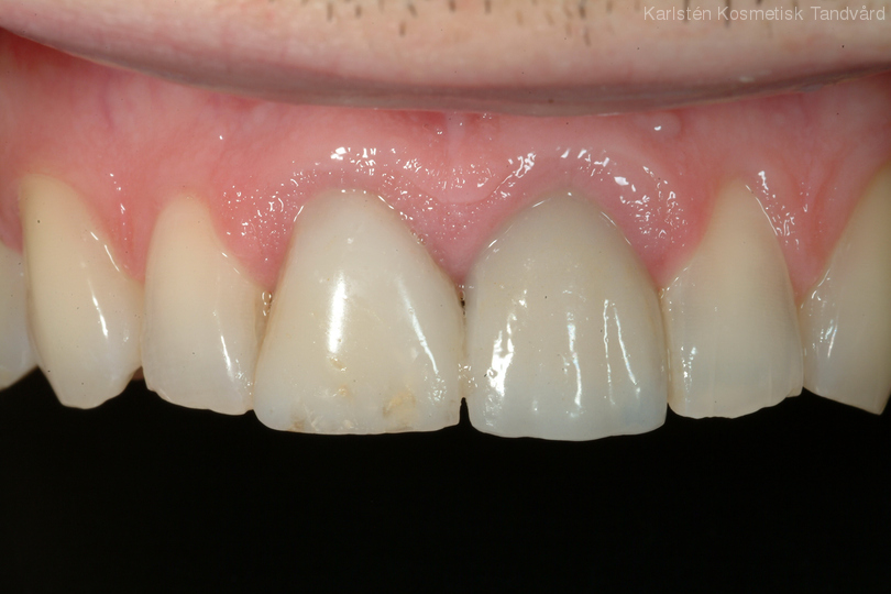
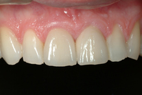
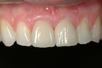
Missfärgade framtänder 1

2 framtänder i överkäken med dåliga fasader och bakterieläckage på baksidan. Behandling: Generell blekning samt 2 porslinskronor.