Patientfall

1 Ojämn tandrad

2 Missfärgade tänder

3 Implantat och broar

4 Glesa tänder

5 Ojämna tänder

6 Ojämna framtänder

7 Skadade tänder

8 Invisalign - Tandreglering

9 Composite

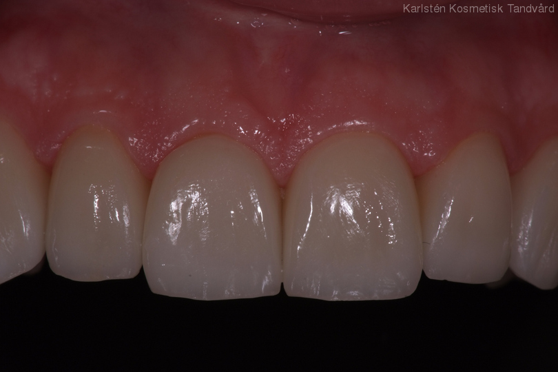
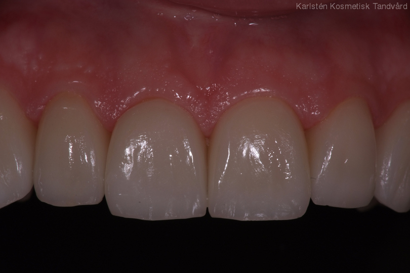
Ojämna skadade tänder 5

Ojämna, skadade tänder generellt. Behandling: Generell blekning, 14 kronor, laserkonturering av tandköttet samt 2 composite-fyllningar.