Patientfall

1 Ojämn tandrad

2 Missfärgade tänder

3 Implantat och broar

4 Glesa tänder

5 Ojämna tänder

6 Ojämna framtänder

7 Skadade tänder

8 Invisalign - Tandreglering

9 Composite

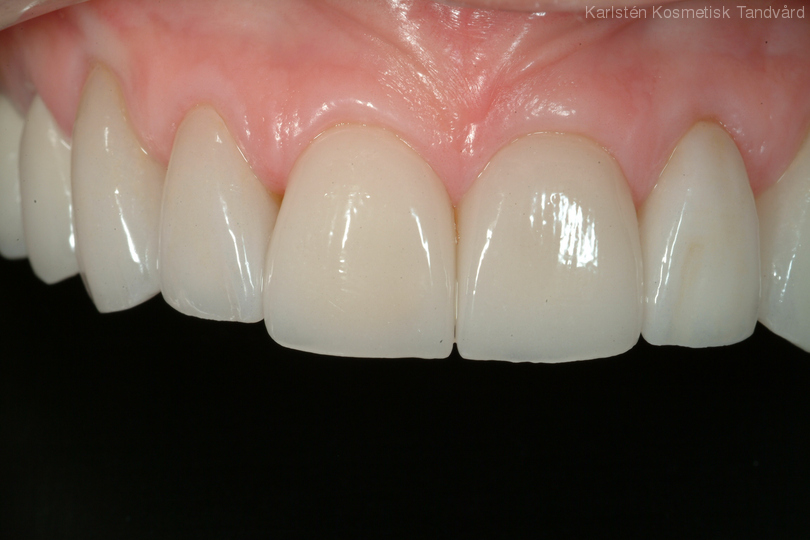
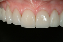
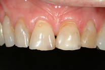
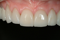
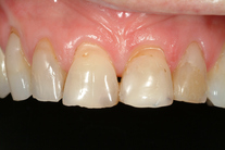
Förfining av tänder 4

Nerslitna och olikfärgade framtänder. Behandling: Generell blekning samt 6 fasader och 4 porslinskronor i överkäken, 4 kronor i underkäken.