Patientfall

1 Ojämn tandrad

2 Missfärgade tänder

3 Implantat och broar

4 Glesa tänder

5 Ojämna tänder

6 Ojämna framtänder

7 Skadade tänder

8 Invisalign - Tandreglering

9 Composite

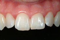
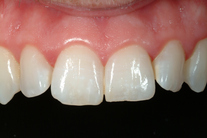
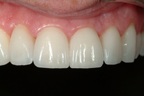
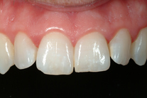
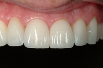
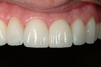
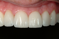
Trångställda tänder 3

Sneda och roterade tänder rätades ut och gjordes mer symmetriska. Behandling: Generell blekning samt 6 fasader.