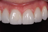
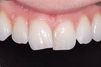
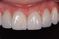
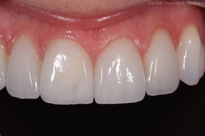
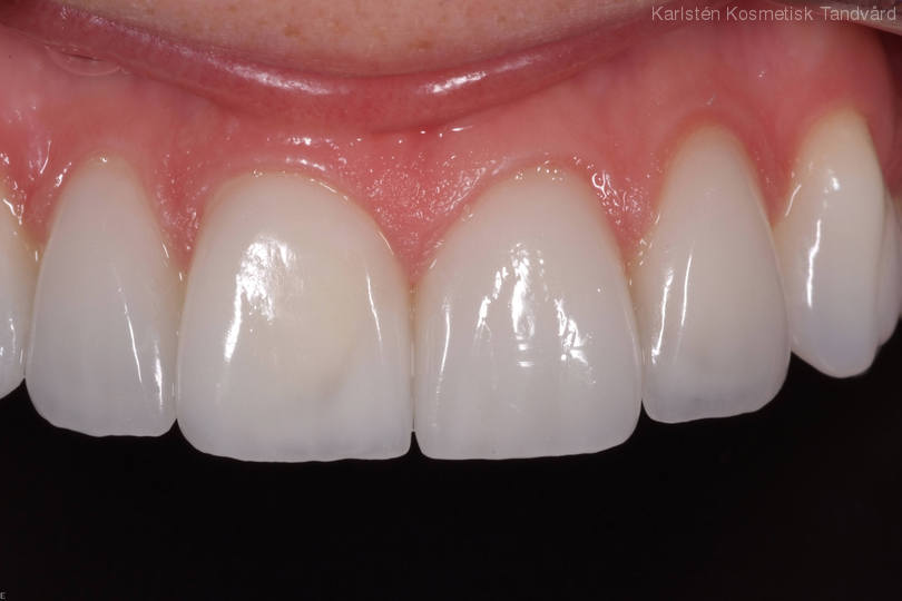
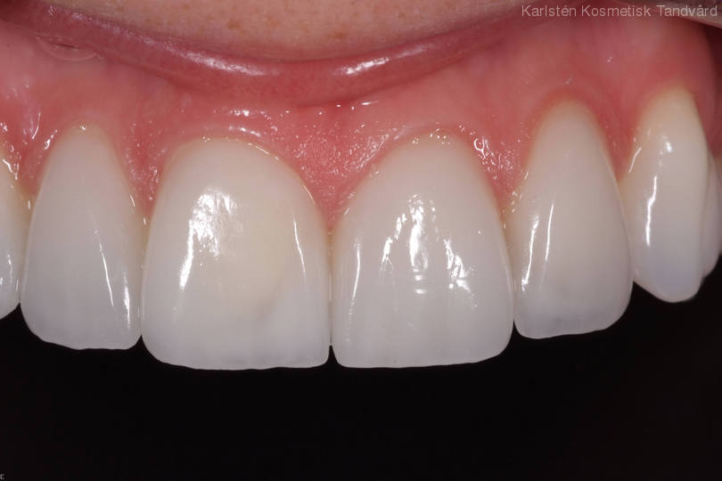
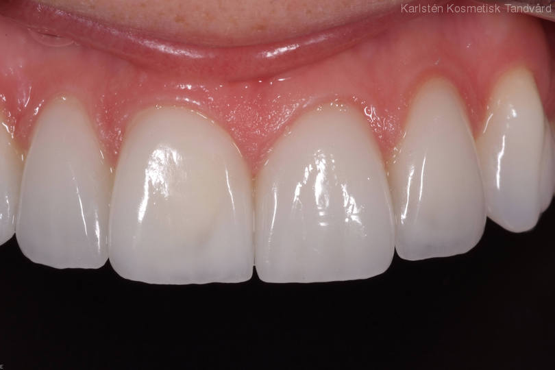
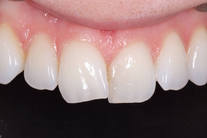
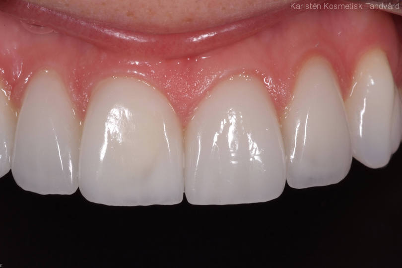
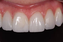
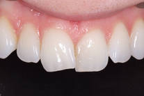
Oregelbunden tandrad i både över- och underkäken. Behandling: Generell blekning samt 5 fasader uppe och 5 fasader nere.