Patientfall

1 Ojämn tandrad

2 Missfärgade tänder

3 Implantat och broar

4 Glesa tänder

5 Ojämna tänder

6 Ojämna framtänder

7 Skadade tänder

8 Invisalign - Tandreglering

9 Composite

Trångställda tänder 11

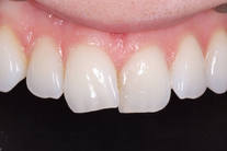
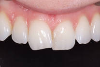
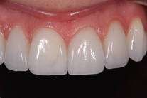
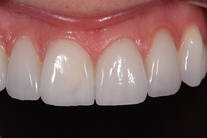
Oregelbunden tandrad i både över- och underkäken. Behandling: Generell blekning samt 5 fasader uppe och 5 fasader nere.