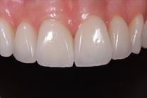
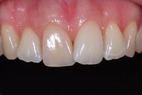
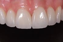
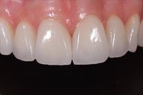
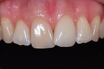
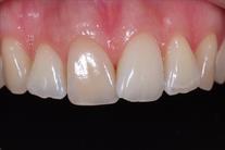
Gul missfärgning på framtand samt oregelbunden tandrad med felaktig lutning på tänderna Behandling: Generell blekning samt 4 fasader