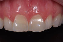
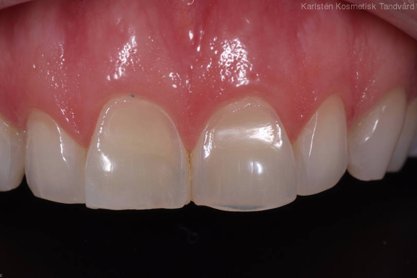
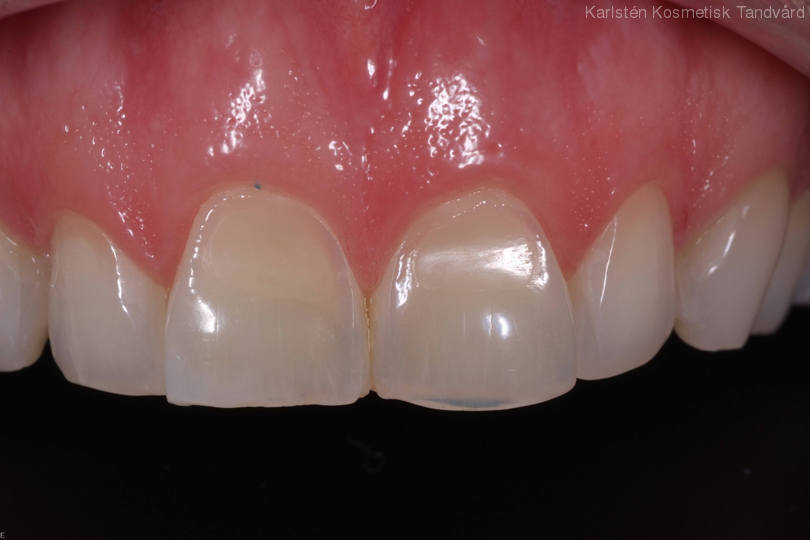
Båda framtänderna skadade på övre delen. Önskemål fanns om en förbättring av leendet. Behandling: Generell blekning och 4 fasader på framtänderna.