Patientfall

1 Ojämn tandrad

2 Missfärgade tänder

3 Implantat och broar

4 Glesa tänder

5 Ojämna tänder

6 Ojämna framtänder

7 Skadade tänder

8 Invisalign - Tandreglering

9 Composite

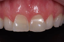
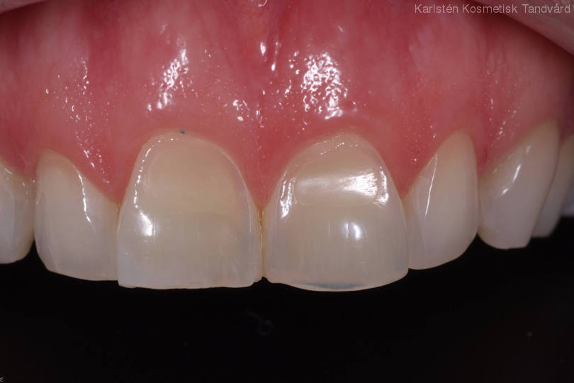
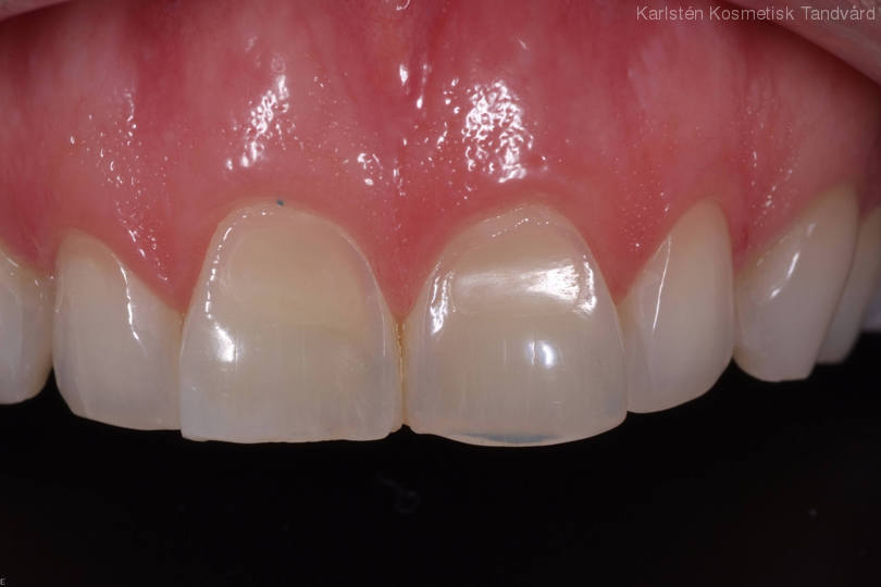
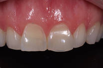
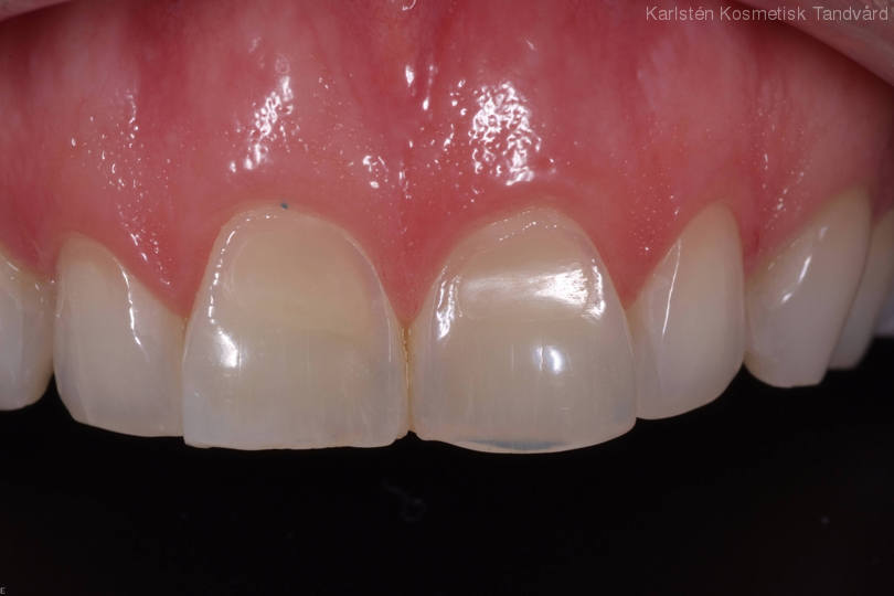
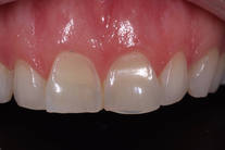
Förfining av framtänder 8

Båda framtänderna skadade på övre delen. Önskemål fanns om en förbättring av leendet. Behandling: Generell blekning och 4 fasader på framtänderna.